产品简介
鼠尾胶原蛋白I型(Rat Collagen Type I )是胶原蛋白的一种,主要为Ⅰ型胶原蛋白。Ⅰ型胶原蛋白主要存在于真皮腱、骨、牙本质,以纤维形式形成胶原,由两个α1链和一个α2链相互扭曲形成三螺旋结构。
本产品是通过 Birkedal-Hansen的方法,通过醋酸抽提、氯化钠沉淀、磷酸氢二钠沉淀等步骤制备的。该胶原溶液在6mM乙酸中以5mg/mL制备并进行无菌过滤。
本产品可用于包被细胞培养器皿,培养一些在普通细胞培养器皿中不易贴壁的细胞。也可用于制备三维胶,模拟真实的生长环境,使细胞在三维环境中生长。
产品特点
1、无尘车间内生产,保证洁净度。
2、本产品热原(内毒素)水平低,减少外源内毒素干扰。
3、本产品通过细胞培养测试(包括三维胶内的细胞培养)。
4、本产品电泳结果和进口S品牌的同类产品无显著区别。
5、本产品为无菌的溶液,省去从干粉配制的麻烦。
注意事项
- 本产品在室温下pH中性时可迅速成胶,在操作过程中要尽量保持低温。
- 包被好的细胞培养器皿可立即使用或风干后置于2~8℃保存最长一周。
- 为了您的安全和健康,请穿实验服并戴一次性手套操作。
保存条件
2~8℃保存,自生产之日起12个月有效。
运输条件
湿冰运输(按季节)。
产品数据展示
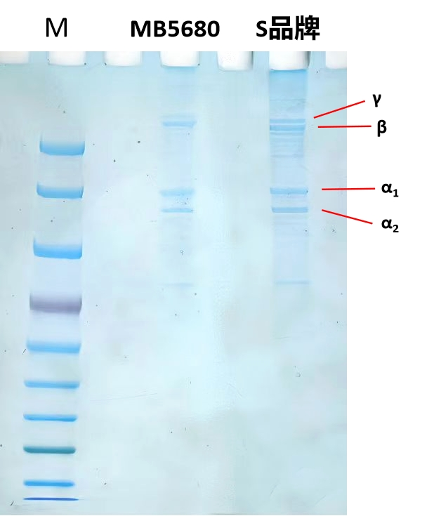
1、蛋白电泳
方法:分别将MB5680、S品牌的胶原蛋白稀释成适量浓度,按照4:1加入蛋loading(5×),100℃煮样5min,使用4~12% HEPES预制胶,上样量10μg/孔,150V电泳30min,快染30min。
结果:结果如图1所示,提取的胶原蛋白电泳条带与进口S品牌主要条带相同,主要由α1和α2条带,和由2条α链形成的二聚体β链,以及由α链形成的三聚体γ链组成,除此其他条带很少,说明提取的胶原蛋白纯度高。
图1 鼠尾胶原蛋白电泳图
2、细胞培养器皿的表面包被
方法:
- 用无菌6mM乙酸分别将MB5680、进口S品牌胶原蛋白稀释到12μg/mL,6孔板内加入1580μL/孔,空白对照组加入等体积PBS。
- 室温放置1小时后,用PBS洗3~4次后直接使用。
- 消化处理细胞PC-3,按照1.5*10^5cells/mL铺板。
- 分别在0h、1h、2h、17h拍照观察细胞贴壁情况。
结果:如图2所示,MB5680和S品牌效果一致:使用胶原蛋白包被孔板后,PC-3细胞铺板1小时大部分细胞贴壁呈圆形;铺板17小时,基本完全贴壁,且细胞呈梭型生长;而空白对照组铺板17小时,仅有一小部分贴壁。


图2 鼠尾胶原蛋白包被PC-3细胞效果图
3、三维胶原制备
方法:
(1)准备好HCT116细胞悬液,浓度为4×10^5 cells/mL,并放置于冰浴中。
(2)将40μL胶原蛋白 (5mg/mL)加到2.4μL 0.1mol/L NaOH中,立即混匀。
(3)再加入2.3μL 20×PBS,混匀。
(4)加入154μL的细胞悬浮液,混匀。
(5)取混合液至48孔板中,8μL/孔。须点在孔板底部中央位置形成圆顶结构,其铺开后不可接触培养孔侧壁。将培养板倒置于37℃孵育70~90min,使其固化。
(6)加入200μL细胞培养液,转移到培养箱中培养。
(7)于6day拍照观察形成细胞球大小。
结果:如图3所示,MB5680可在37℃、中性pH下成胶,提供三维环境,HCT116细胞可在MB5680中成球生长。

图3 鼠尾胶原蛋白3D细胞效果图
关键词
I型胶原蛋白,鼠尾, 胶原蛋白I型(鼠尾)


